목차
시작하는 이야기
오늘은 시기별 태아 성별 확인 방법으로 유명한 방법들을 모두 소개해드리도록 하겠습니다. 일반적으로 태아의 성별 유무를 정확하게 확인할 수 있는 시기는 15주~20주 사이입니다. 하지만 저도 그전까지 성별에 대한 궁금증으로 각 시기별 확인할 수 있는 방법을 모두 다 시도해 보았습니다. 제가 확인한 방법은 크게 4가지 방법입니다. 임신 후 확인 가능한 중국황실달력과 미국젠터테스트, 4-6주에 가능한 난황위치 테스트, 7주이후 가능한 심장소리테스트, 마지막으로 12주에 확인가능한 각도법(장꾸맘의 각도법)을 소개해드릴 예정이며, 실제 이 방법들이 맞았는지 틀렸는지 유무도 함께 공유하도록 하겠습니다.

1. 중국황실달력 등 날짜 성별확인방법, 시기: 임신 후
가. 중국황실달력 (딸=맞춤)
중국황실달력은 임신한해의 여성나이(임신한 해-산모가 태어난해)와 임신한 달(음력)로 비교하는 방법입니다. 저의 경우 여성나이(2023-1989=34)와 임신한 달이 약 8월15일쯤이기에 음력으로 변환하면 7월 12일(7월)이 되면서 ♥를 만나볼 수 있었습니다. 즉, 딸이라는 의미입니다. 아래 사진을 참고해서 중국황실달력으로 분석해 보시기 바랍니다.

나. 미국 baby Gender Predictor Test (딸=맞춤)
미국에서 개발(?)한 이 테스트는 엄마의 태어난 달과 해(1989, december), 아빠의 태어난 달과 해 (1989, november) , 그리고 태아가 수정된 날 2023, august) 을 입력한 뒤 Predict를 눌러주면! Congratulations, it's a girl 이라고 뜹니다! 이번에도 맞추었습니다.


http://www.babygendertool.com/baby-gender-test.aspx
Baby Gender Predictor
Baby Gender Predictor tells you the sex of your baby instantly and creates conception calendar for gender planning. Choose the test based on parents birth dates and conception date or Chinese gender chart based on lunar calendar or Old Wife Tales.
www.babygendertool.com
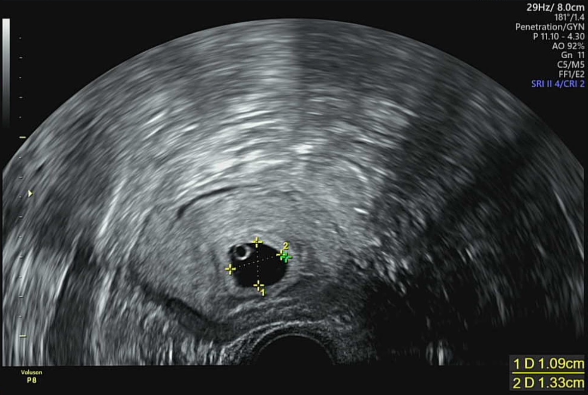
2. 난황위치 성별 확인 방법, 시기: 4주차, 5주차, 6주차(아들=틀림)
난황을 확인할 수 있는 시기는 보통 4~6주차로 이르면 4주차에도 확인 가능합니다. 저 같은 경우에는 5주차 6일에 난황과 아기집을 동시에 확인했습니다. 이런 난황의 위치로도 성별을 확인할 수 있다고 합니다. 아래 사진과 같이 왼쪽 위, 아래에 있다면 아들! 오른쪽 위, 아래에 있다면 딸을 의미합니다. 하지만, 초음파기계별로 세팅이 다르기 때문에 좌우반전이 있을 수도 있다는 점을 참고하시기 바랍니다. 현재 보이는 초음파 사진상으로는 아들의 위치에 난황이 있었는데, 아무래도 좌우반전이 있던 초음파였을지도 모른다는 추측입니다.


3. 심장소리 성별 확인 방법, 시기: 7주차 이후 (딸?=맞춤)
심장소리로도 성별을 구분할 수 있다고 합니다. 아기심장소리 동영상을 들어보면 되는데, 심장소리는 보통 빠르면 6주, 일반적으로 7주 이후에 들을 수 있답니다. 그리고 심장소리는 성장함에 따라 좀 더 확실하게 들을 수 있습니다. 말발굽소리라면 딸, 기차소리라면 아들이라고 합니다. 당시 들었던 기억으로 말발굽 같다(개인의 소망이 있었을 지도)라고 생각했는데 이건 듣는 이의 자유이기 때문에 추측성이라고 볼 수 있었답니다.
4. 12주 각도법(장꾸맘의 각도법) 성별 확인 방법: 12주 이후 (딸 = 맞춤)
네*버 유명 맘카페에서 각도법을 잘 봐주기로 유명하신 장꾸맘님이 계십니다. 저는 12주차 진료 후에 바로 동영상과 사진을 업로드해서 장꾸맘님에게 문의를 드려보았답니다. 지금은 따로 카페를 운영하셔서 아래 첨부해 드릴 카페로 가입해서 문의해 보시면 됩니다.
가. 12주 각도법
태아 초음파에서 옆모습의 척추와 성기의 각도를 통해 볼 수 있는 방법을 12주 각도법이라고 부릅니다. 12주보다 좀 더 이르면 애매할 수도 있고, 12주가 지나면 성기의 형태로도 추정할 수 있기 때문에 가장 빠르게 성별을 확인할 수 있는 방법입니다. 툭 튀어나온 부위가 척추와 평행을 이루고 있다면 딸, 30도정도의 각도를 이루고 있다면 아들이라고 합니다. 16주 이상 됬을 때 정확한 성별을 판단하기 이전에 가장 정확하게 확인 할 수 있는 방법입니다.


나. 장꾸맘의 각도법
장꾸맘님의 주변 적중률은 100%였고, 인터넷상으로 돌아다니는 적중률도 99%는 되는듯합니다. 일단, 확실할 경우에는 딸에 한표요! 아들에 한표요! 라고 말씀해 주시고, 정말 안보이시는 동영상의 경우 업로드 재요청을 해주시거나, 조건부로 잘 보이지 않는 동영상이지만, 혹은 조심스럽게, ~에 한표요 라고 얘기해 주신답니다. 저의 경우에는 12주2일차 동영상을 올렸고 단답으로 딸에 한표요! 라고 답변해 주셨답니다.


https://cafe.naver.com/blackjg6xr?tc=shared_link
장꾸맘의 각도법 : 네이버 카페
대한민국 모임의 시작, 네이버 카페
cafe.naver.com
마무리 및 정리
처음말씀드린 바와 같이 16주~20주가 되면 아이의 성별은 병원에서도 확인 가능합니다.(일부 병원은 성별에 대한 언급은 안 해준다고 합니다.) 제가 테스트했던 4가지 방법 중 난황을 제외하고는 딸로 모두 적중했습니다. 16주가 되었을 때 아래 사진과 같이 남아와 여아의 성기가 변화되기 때문에 엉덩이 사진만으로도 성별 확인이 가능하답니다.


위에 알려드린 방법들(중국황실달력, 미국성별테스트, 난황위치, 심장소리, 12주각도법)은 재미로 확인해 보시고, 그 외에도 태몽, 베이킹소다, 삼각점 등 다양한 확인법이 있다는 걸 참고해 보시기 바랍니다.
'임신일기' 카테고리의 다른 글
| 아기집 보이는 시기, 난황 보이는 시기(4주~6주차) (0) | 2024.01.08 |
|---|---|
| 신생아 특례대출 대환 등 조건, 신청, 금리, 1주택자, 임신 관련 알아보기 (0) | 2024.01.05 |
| 줄즈(Joolz) 데이플러스(Day+) 디럭스유모차(유아차) 내돈내산 후기 (0) | 2023.12.22 |
| [신생아침대] 리안 드림콧 구매후기 (0) | 2023.12.06 |
| 입덧 완화 음식, 입덧에 좋은 음식, 입덧 가라앉히는 음식(입덧캔디 등) (0) | 2023.09.20 |