목차
시작하는 이야기
안녕하세요 임신을 준비하는 부부라면 혹은 임신테스트기의 두 줄을 확인 하는 순간 산부인과에서 임신사실을 직접 확인하고 싶을겁니다. 이 때 초음파상으로 아기집이 언제쯤 보이는 지, 난황은 또 언제쯤 보이는지가 궁금할 수 있을 것입니다. 이런 내용에 대해 자세히 다뤄보고자 합니다.

1. 아기집 보이는 시기
가. 산부인과 방문 시기
가장 적합한 시기는 생리 예정일로부터 1~2주정도 지났을 시기입니다. 보통 임신테스트기에서 두 줄을 확인했을 때 산부인과에 가서 확인해보고 싶어하나, 바로 병원을 간다면 아기집이 아직 생기기 전인 경우도 많고 그럴 때는 일주일 뒤에 재방문하라는 요청을 받을 수 있습니다.
나. 아기집이 보이는 시기
정자와 난자가 수정된 수정란이 수정 후 5일정도 지나야 자궁 안쪽에 들어와 자리를 잡기 시작하고 이런 과정을 착상이라고 부릅니다. 착상을 한 뒤 세포분열 과정을 통해 아기집을 형성하고 그 안에 난황과 아기가 생깁니다. 이 과정은 보통 착상 후 2~3주 정도 걸립니다. 즉, 초음파를 통해 아기집을 확인할 수 있는 시기는 수정 후 3주 이상, 임신 5주 이후입니다.
빠른사람의 경우 4주차에도 아기집을 확인하실 수 있습니다.
보통 생리예정일로부터 1~2주정도 지난 시기에 병원을 가게 된다면 아기집을 확인할 수 있습니다. 혹은 임신테스트기를 지속적으로 확인하며 기다리는 경우, 임신테스트기의 왼쪽 줄이 오른쪽 줄 보다 진해졌을 때(역전되었을 때) 산부인과에 가보는 것으로 판단 할 수 있습니다.
다. 아기집 확인 후 해야할 일
병원마다 조금씩 다르기는 하지만, 일반적으로 아기집을 확인했을 때 산부인과에서는 임신확인증을 발급해줍니다. 임신확인증을 발급 받았을 때에는 공단에 임산부등록하기, 정부24에서 임산부관련 혜택 신청하기( 또는 보건소에 방문하여 신청하기), 국민행복카드 발급하기 를 통해 임산부임을 증빙하고, 관련 혜택들을 방아볼 수 있습니다. 아래 링크를 통해 자세한 내용을 확인해보시기 바랍니다.
2023.09.05 - [임신일기] - 베베폼 국민행복카드 바우처 등록 및 임산부 등록 후기(롯데카드)
베베폼 국민행복카드 바우처 등록 및 임산부 등록 후기(롯데카드)
목차 시작하는 이야기 임신확인서(건강보험 임신, 축산 진료비 지급 신청서)를 받은 임산부(태낭 확인)가 임신확인서를 받은 후 해야 할 일이 몇 가지 있습니다. 그중 하나가 국민행복카드 바우
health.dinoplanner.com
2. 난황 보이는 시기
가. 난황이란?
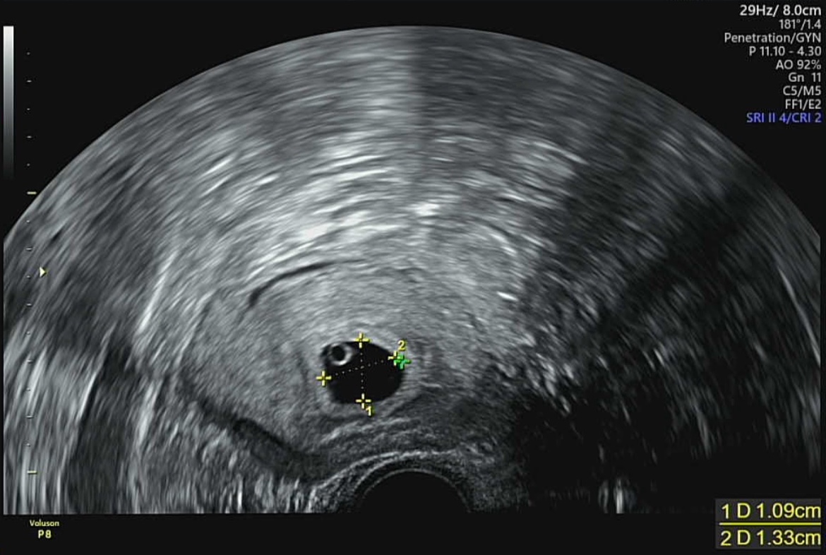
초음파상으로 확인 되는 형태는 하얀 자궁속에 까만 동그라미가 아기집이며, 그 아기집 안에 동그란 반지모양의 하얀색 텅 빈 동그라미가 난황입니다. 난황은 태아가 탯줄을 통해 영양이 공급되기 전까지 임신초기의 태아에게 영양을 공급해주는 것을 난황이라고 합니다. 저희 산부인과 의사선생님은 간단하게 아기밥이라고 표현하였습니다.

나. 난황 보이는 시기
일반적으로 난황은 일반적으로 아기집을 처음 보게되는 5주차보다 한 주정도 더 지난 6주차에 확인가능하다고 합니다. 이 시기의 태아는 1mm~2.5mm이기 때문에 난황의 동그라미 반지 옆에 점처럼 있어서 이 시기에는 너무 작아서 눈으로 확인하기 어렵다고 합니다.
마무리 및 정리
참고로 저의경우, 네이버주수계산기로 계산했을 때 (마지막 생리 시작일 기준) 7주가 넘는 상황에 임신 사실을 알게되었습니다. 저는 주기가 긴 편이었고 네이버로만 확인했을 때에는 7주가 한참넘은 상황이었지만, 처음 초음파로 확인할 당시 아기집과 난황을 함께 확인할 수 있었습니다.(5주6일)
현재의 상태를 기준으로 예정일과 현 주수에 대해 추정해주시니 임신확인서가 필요하여 아기집을 확인해야하는 경우에는 생리예정일 기준 1~2주뒤, 수정 후 3주이상을 기준으로 확인해보시는 것이 가장 정확할 것입니다.
'임신일기' 카테고리의 다른 글
| 신생아 특례대출 대환 등 조건, 신청, 금리, 1주택자, 임신 관련 알아보기 (0) | 2024.01.05 |
|---|---|
| 중국황실달력, 12주 각도법(장꾸맘의 각도법) 등 태아 성별 확인 시기 및 방법 정확 (1) | 2024.01.03 |
| 줄즈(Joolz) 데이플러스(Day+) 디럭스유모차(유아차) 내돈내산 후기 (0) | 2023.12.22 |
| [신생아침대] 리안 드림콧 구매후기 (0) | 2023.12.06 |
| 입덧 완화 음식, 입덧에 좋은 음식, 입덧 가라앉히는 음식(입덧캔디 등) (0) | 2023.09.20 |